Вроджена косорукість – стійка деформація, в результаті якої кисть відхиляється в ліктьову або променеву сторону від поздовжньої осі передпліччя. Виникає у внутрішньоутробному періоді. Є наслідком недорозвинення однієї з кісток передпліччя або асоційованих з цими кістками сухожиль. Виявляється викривленням верхньої кінцівки – кисть розташована під кутом до передпліччя. Може поєднуватися з недорозвиненням п’ясткових кісток, фаланг пальців, відсутністю одного або декількох пальців, зрощенням пальців, контрактурами, підвивихами або вивихами в ліктьовому і лучезапястном суглобах. Діагноз виставляється на підставі рентгенологічної картини і даних об’єктивного дослідження. Лікування хірургічне, проводиться в ранньому віці (зазвичай до 1 року). Після операції призначається ЛФК, масаж і фізіотерапія.
Причини вродженої косорукості
Вроджена косорукістю формується в результаті впливу ряду зовнішніх і внутрішніх факторів. До числа зовнішніх (екзогенних) факторів, які можуть викликати розвиток даної патології, відноситься недостатнє харчування матері, інфекційні захворювання, прийом деяких лікарських препаратів, а також іонізуюче опромінення.
У числі внутрішніх (ендогенних) причин – пізня вагітність, гормональні порушення, важкі соматичні захворювання матері, функціональні розлади і патологічні зміни матки. Велике значення має час впливу – критичним періодом вважаються перші 5 тижнів вагітності. Генетична схильність не визначена.
Класифікація
Виділяють два типи вродженої косорукості: променеву та ліктьову. Променева косорукістю формується при недорозвиненні або відсутності променевої кістки і асоційованих з нею сухожиль, ліктьова – при недорозвиненні або відсутності ліктьової кістки і відповідних сухожиль. Кожен тип вродженої косорукості підрозділяється на кілька підтипів з урахуванням ступеня недорозвинення кістки.
Ліктьова косорукістю:
- Помірна гіпоплазія. Ліктьова кістка вкорочена на 10-29% в порівнянні з променевою.
- Виражена гіпоплазія – ліктьова кістка вкорочена на 30-69% в порівнянні з променевою.
- Рудимент ліктьової кістки – ліктьова кістка вкорочена на 70-99% в порівнянні з променевою.
- Аплазія ліктьової кістки – ліктьова кістка повністю відсутня.
Променева косорукістю:
- 1 ступінь – променева кістка вкорочена не більше, ніж на 50% від норми.
- 2 ступінь – променева кістка вкорочена більш, ніж на 50% від норми.
- 3 ступінь – променева кістка повністю відсутня.
Крім того, при променевої косорукості фахівці в області ортопедії і травматології виділяють 4 типи кисті:
- 1 тип – гіпоплазія першої п’ясткової кістки і м’язів тенара (піднесення, розташованого між I пальцем і променезап’ясткових суглобів).
- 2 тип – I п’ястно кістка відсутня, виявляється недорозвинення фаланг 1 пальця.
- 3 тип – I п’ястно кістка і I палець відсутні, може також спостерігатися відсутність II і III пальців.
- 4 тип – кістки кисті розвинені нормально.
Симптоми косорукості
При променевої косорукості кисть знаходиться в положенні пронації, між пензлем і передпліччям утворюється кут, відкритий в сторону променевої поверхні (сторону великого пальця). За тильній поверхні виявляється проксимальное зміщення кисті по відношенню до голівки ліктьової кістки. Кисть обертається навколо головки, як прапорець флюгера.
У більшості пацієнтів з вродженою косорукістю спостерігаються різні дефекти кисті: відсутність I пальця, відсутність I п’ясткової кістки, відсутність I, II і III пальців. I палець може бути укороченим, складатися з однієї фаланги або через відсутність I п’ясткової кістки висіти на шкірної ніжці. V і IV пальці при цьому розвинені нормально.
Через недорозвинення і контрактур пальців функціональні можливості кисті різко обмежені, захоплення предметів часто неможливий.
Передпліччя зазвичай укорочено, головка ліктьової кістки виступає. Через деформації ліктьової кістки виникає дугоподібне викривлення передпліччя з опуклістю, оберненою в ліктьову сторону (бік V пальця). М’язи передпліччя недорозвинені. Пронатори і супінатори передпліччя, довгі м’язи I пальця і плечелучевая м’яз нерідко відсутні. Можливо також відсутність довгої головки біцепса плеча. При аплазії променевої кістки також спостерігається відсутність променевої артерії.
При ліктьовий косорукості кисть знаходиться в положенні супінації, між пензлем і передпліччям утворюється кут, відкритий в ліктьову сторону (бік V пальця). V і IV пальці часто відсутні або недорозвинені. Передпліччя укорочено. Через деформації променевої кістки утворюється дугоподібне викривлення, звернене опуклістю в променеву сторону (бік I пальця). Рухи в ліктьовому суглобі обмежені через вивиху головки променевої кістки. М’язи передпліччя з ліктьової сторони недорозвинені або відсутні. Функція кисті порушена менше, ніж при променевої косорукості.
Діагностика
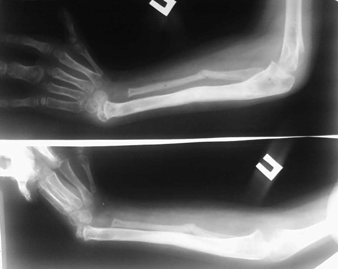
Постановка діагнозу вроджена косорукістю технічно нескладне труднощів через візуально видимих деформацій і явних порушень функції кінцівки. Для точної оцінки ступеня недорозвинення кісткових структур і уточнення подальшого плану лікування виконують рентгенографію кісток передпліччя і рентгенографію кісток кисті. Для оцінки стану м’яких тканин призначають МРТ передпліччя і електроміографію.
Лікування
Лікування вродженої косорукості починається з перших днів життя. Немовлятам, які не досягли 6-місячного віку, призначається консервативна терапія, спрямована на «розтягування» м’яких тканин, зменшення і запобігання розвитку контрактур. Пацієнти направляються на ЛФК, масаж і носіння ортезів. Операції рекомендується проводити у віці до 1 року, оптимальний період – 6-9 місяців. Показанням до хірургічного втручання є неустраняемого контрактури в лучезапястном і ліктьовому суглобах, некоррігіруемой відхилення кисті по відношенню до передпліччя і обмеження функції кисті. Залежно від ступеня і виду деформації втручання може бути як одномоментним, так і багатоетапним. На першому етапі ліквідовують саму функціонально значущу деформацію, на наступних етапах проводять корекцію дрібних деформацій і, при можливості – косметичних дефектів.
При променевої косорукості проводяться хірургічні втручання, спрямовані на відновлення «вилки» в області лучезапястного суглоба. При виражених контрактурах втручання на кістках виконується в поєднанні з подовженням згиначів кисті і шкірною пластикою.
При аплазії променевої кістки здійснюється радіалізація або централізація кисті. Протягом 1-2 міс. кисть виводять в правильне положення, використовуючи дистракційний пристрій (апарат Ілізарова), а потім стабілізують її на ліктьової кістки. Виражене дугоподібне викривлення передпліччя є показанням для проведення коригуючої остеотомії.
При ліктьовий косорукості виконується висічення фіброзного тяжа, що з’єднує недорозвинену ліктьову кістку з променезап’ясткових суглобів, в поєднанні з коригуючої остеотомії променевої кістки. Якщо довжина ліктьової кістки становить понад 50% від норми, кістка подовжують, використовуючи апарат Ілізарова. Іноді втручання доводиться проводити в два етапи: на першому етапі кістка виводять в правильне положення і усувають вивих головки променя, на другому формують однокостное передпліччя.
Синдактилії (зрощення пальців) при ліктьової і променевої косорукості зазвичай усувають на заключному етапі, після корекції найбільш значних деформацій. На місце відсутніх пальців пересаджують пальці зі стопи. В післяопераційному періоді обов’язково призначають фізіотерапію, масаж і ЛФК для профілактики контрактур і вторинних деформацій.















